Dental Implants Nutley
“I will definitely come back
if I need anything in the future.”
-Diane Sadowski
- Superior Education
- Board Certification
- Advanced Technology

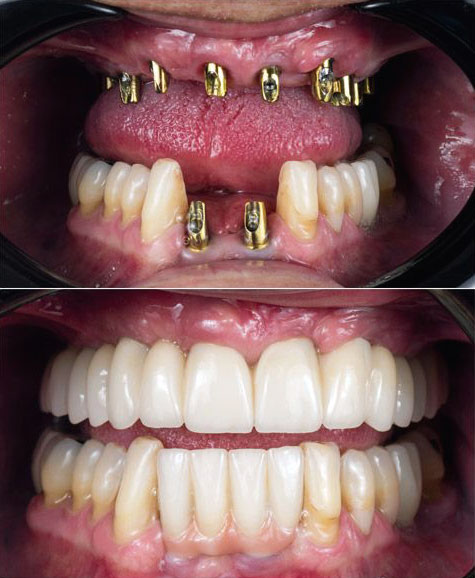
Want a Great Reason to Choose Dental Implants?
How About Results Like These?
Dr. Khaimov may recommend titanium dental implants to replace your missing natural teeth for many reasons, but among the most important ones are amazing results like these. Dr. Khaimov's New Jersey and New York patients are thrilled with how this advanced tooth replacement procedure improves their smile, oral health, and oral functions.
Want to Smile and Eat With Confidence Again? Contact Dr. Mark Khaimov About Dental Implants Today
Tired of covering your mouth when you laugh or smile? Sick of eating boring, soft foods because chewing hurts so much? Dental implants with attached customized restorations could be the solution. As a specialist, Dr. Mark Khaimov has nearly two decades of top-level experience surgically placing implants to bring full, confident smiles to his Nutley and Florham Park patients.
The best way to find out how implants can transform your compromised smile into a "celebrity" smile is to request a consultation with Dr. Khaimov at our Nutley or Florham Park offices. Just use our easy online form or call us. We know you will appreciate the gentle, effective care that is the hallmark of our practice.
Nutley Office: (973) 798-2639
Florham Park Office: (973) 377-3131

We Make Our Patients Smile
“I cannot recommend Dr. Mark highly enough! He is not only a skilled and meticulous surgeon but also an exceptional dentist. From the very first consultation, he took the time to thoroughly explain my treatment options and answer all of my questions with patience and clarity. His calm and reassuring demeanor immediately put me at ease, which is so important when undergoing any kind of dental or surgical procedure.”
Financing Helps Make Implants More Affordable
Implant procedure costs vary due to the number of implants and type of restoration you need, and if pre-implant procedures like extractions, bone grafts, or gum disease therapy are needed. Also, some implant prices do not include the abutment.
We offer flexible financing through CareCredit® and Cherry. These third-party lenders provide low-interest payment plans to make out-of-pocket costs easier to manage.
Dr. Khaimov wants all his patients to receive the top-quality dental care he is known for, despite budgetary concerns. Contact our Nutley or Florham Park practice to learn more about financing your dental implant treatment.
Find Out if Dental Implants Are Right for You Book a Consultation Today
Dental implants are often considered the gold standard tooth replacement option. However, not everyone is initially a good candidate. During your initial consultation, Dr. Khaimov will examine your mouth and discuss your goals to determine if you are a good candidate as you are, if preparatory treatments are needed, or if alternative treatments are better for you.
Don't live with tooth loss. Contact us today to start your journey to a beautiful smile. For your convenience, we have offices in Nutley and Florham Park, NJ.
A Look at the Dental Implant Procedure
Dental implant placement is a fairly complex surgical procedure, which is why it's so important to choose a qualified periodontist and implant dentist like Dr. Khaimov at MK Periodontics & Implant Dentistry, PC for your care. If you're worried the procedure looks painful, you can rest assured that Dr. Khaimov will use local anesthetic and gentle techniques to help keep you comfortable.
The 3 Parts of an Implant-Supported Restoration
Implant-supported restorations consist of three elements:
- The implant itself is the base for an implant-supported restoration. The titanium post is inserted into the jawbone during implant surgery at our Nutley or Florham Park office. Over the course of several months, it fuses with the surrounding tissue to create a stable foundation for your restoration.
- Next, an abutment is affixed to the top of the implant. It will take a few weeks to heal from the minor surgery needed to affix the abutment to the implant.
- Finally, your customized crown, bridge, or denture will be firmly attached to the abutment and the implant.
Dental Implants Are Sturdy, Secure, & Long-Lasting

According to the Institute for Dental Implant Awareness
Receive Quality Dental Implants Contact Dr. Mark Khaimov Today
If you're searching for a doctor and team you can trust for your implant dentistry, look no further. Contact our Florham Park or Nutley, NJ, dental practice today to set up a consultation with Dr. Khaimov. You can reach us by calling:
Nutley Office: (973) 798-2639
Florham Park Office: (973) 377-3131
Just One of Our Many 5-Star Google Reviews
“I did my first implants here. I was recommended by Dr Milman in Jersey City. When I spoke to the staff they confirmed with me what my insurance would cover and answered all my questions. When I spoke with Dr Khaimov he explained everything in detailed what was going to be performed, how it should feel after, and how post treatment is. It’s been about a year and I’ve done 2 implants and no complaints. I’m finally ready for Crowns. Also he is very punctual so please come on time. Whenever I come in, I normally never wait to be seen.”
Dr. Khaimov Can Provide Same-Day Dental Implants
Traditionally, dental implant treatment involves two surgeries, two healing periods, and at least three appointments spread over the course of several months.
However, Dr. Khaimov may be able to use the convenient TeethXpress® implant procedure to surgically place your implants and attach customized temporary dentures during the same appointment. This means you can walk in with missing teeth and walk out with a functional, complete smile. With the TeethXpress procedure, four to eight implants are needed to support a full-arch denture.
Dr. Khaimov will create precise digital impressions of your smile and send them to our trusted partner lab to craft your permanent restoration. You may only need one more appointment at our Nutley office or our Florham Park office to remove your temporaries and firmly secure your permanent restoration in place.
Consider All-on-4 Treatment
If you are missing most or all of your teeth and lack the jawbone density to qualify for traditional dental implants or TeethXpress, do not worry. Dr. Khaimov offers an alternative implant procedure that may work better for you. All-on-4® dental implants secure a full denture with just four strategically placed implants that accommodate patients with bone recession. With this innovative technique, you might be able to skip preparatory treatments and restore your smile right away.

"I'm very happy with my choice."
"Im a new patient of Dr khaimov, had surgery yesterday in preparation for implants. I have minimal swelling and bleeding, had no need for pain meds. I felt he is knowledgeable, friendly, compassionate and experienced, he does unswer all questions sincerely.
His office staff are all very professional and friendly. So far, I'm very happy with my choice."


