Bone Grafting Nutley, NJ | 600+ 5-Star Reviews
Rebuilding Foundations
- Qualify for dental implants even after years of tooth loss
- Enjoy faster healing with PRP therapy and ATP38 light therapy
- Transparent pricing: Costs typically range from $1,200 to $3,500
Meet Dr. Mark Khaimov: Your Bone Grafting Specialist Book a Consultation to Begin Your Implant Journey
When you visit MK Periodontics & Implant Dentistry for a bone graft, you’ll receive expert care from a board-certified periodontist with advanced surgical skill. Dr. Mark Khaimov has helped thousands of patients rebuild smiles and restore oral health with bone grafting and implant placement.
- Board-certified periodontist with over 20 years of experience
- Advanced training in bone grafting, implants, and laser-assisted surgery
- Gentle, patient-first approach with a track record of 5-star care
- Serving Nutley, Florham Park, and patients from across Essex County
Ready to rebuild a strong, stable foundation for dental implants? Contact our Nutley or Florham Park offices today to schedule your bone grafting consultation.

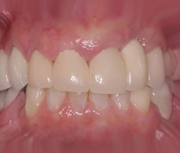
A Life-Changing Dental Experience
“I want to express my heartfelt gratitude to Dr. Khaimov for his unwavering dedication, and kindness. His expertise and exceptional care have made a real difference in my life. He explained everything before my procedure, so I knew what was going on. Thank you for your commitment and the positive impact you make as a doctor. I will definitely recommend Dr. Khaimov's practice to anyone.” — K.G., 5-Star Review
Affordable, Expert Bone Grafting in Nutley Most Procedures Range From $1,200–$3,500

The cost of a bone graft at MK Periodontics & Implant Dentistry typically ranges from $1,200 to $3,500, depending on the size of the area being treated and the type of grafting material used. This pricing is competitive for advanced, specialist-performed care streamlined into a complete implant treatment plan.
Bone grafting is often considered a medically necessary step before dental implant placement, so some dental insurance plans may contribute to the cost. Our office coordinators will gladly help you check your benefits and submit claims on your behalf.
If you’re paying out of pocket, we accept flexible financing through CareCredit®, Cherry, and PatientFi. Each of these financing options lets you spread your payments out over time, which makes it easier to move forward with treatment quickly.
Questions about pricing or coverage? Message our Nutley or Florham Park offices today for a personalized estimate.
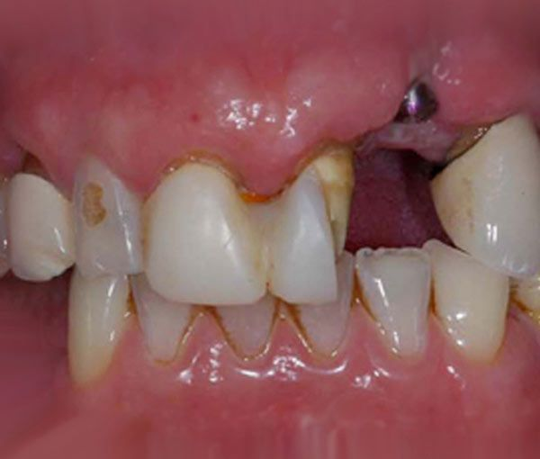
What Bone Grafting Treats
Bone Loss
The prolonged absence of teeth and the advanced stages of periodontal disease cause tissue loss in the jaw that can affect the stability of your teeth.
Loose Teeth
Teeth can become loose for a variety of reasons. When left untreated, this can result in tooth loss and bone atrophy.
Developmental Defects
Certain developmental defects result in areas of missing tissue in the jaw.
Facial Trauma
An injury or other traumatic incident can cause the loss of bone tissue in the jaw.
Am I a Candidate for Bone Grafting?
Most patients in good oral and overall health who have suffered bone recession are candidates for bone grafting. However, there are a few issues that can affect your candidacy:
Type and Extent of Jawbone Tissue Loss
Several types of dental bone grafts address different degrees of bone loss. The area where you have experienced atrophy and the amount of tissue you need to replace will determine which graft you are a candidate for.
Good Dental Health
In general, it is a good idea to address other oral health issues, such as gum disease, before undergoing a grafting procedure.
Stable Overall Health
Conditions like uncontrolled diabetes and habits like smoking may limit your ability to heal after surgery and can interfere with your candidacy for a graft.
Your dentist will carefully assess your candidacy before recommending bone grafting.
An Experienced Dentist With Advanced Technology
Our dental offices in Nutley, NJ, and Florham Park, NJ, are equipped with the latest technology, which allows us to provide precise care. Dr. Khaimov is a board-certified periodontist and implant dentist, and a diplomate of the American Board of Periodontology.
Our entire practice takes pride in treating each one of our patients with kindness and respect to ensure your visit is as stress-free as possible. If you are ready to replace missing teeth, call us to see if you are a good candidate for a bone graft and implants.

“Nothing less than spectacular.” Nutley and Florham Park Choose Us For Their Dental Care
My experience at MK Periodontics has been nothing less than spectacular. From my first consultation until my last visit, Dr. Khaimov and the staff have always been available to answer questions, change appointment dates, and provide home treatment recommendations. I highly recommend MK Periodontics if you’re in need of periodontic care. You will truly feel supported and valued in every way!
View On GoogleThe place is real nice and most importantly very clean. The staff is friendly, professional, and welcoming. The Dr is a real cool guy and makes your visit comfortable and worth it. He explained everything before my procdure so I knew what was going on. I will definitely recommend the practice to anyone.
View On GoogleAdvanced Technology Leads to Rapid Recovery
In our Florham Park and Nutley, NJ, offices, we use platelet-rich plasma (PRP) to expedite your recovery after your bone grafting procedure. We create the PRP by separating the platelets (reservoirs of growth factors) from a sample of your blood processed in a centrifuge. The PRP is then applied to your surgical site to help you recover more quickly, so we can perform the treatment you need as soon as possible.
What To Expect: Your Bone Graft Step by Step
The exact nature of your grafting procedure will depend on the type of graft you need. For example, sinus lifts (augmentation of the upper jaw to accommodate implants and avoid disrupting the sinus membranes) are more complicated than a simple ridge augmentation procedure. However, several common steps typically occur during a dental bone graft:
Thanks to careful planning and minimally invasive techniques, bone grafting is predictable and results in minimal discomfort.
Bone Grafting Sets the Stage for a Healthier Smile
Bone grafting is a safe and effective surgery that provides a strong, lasting base for implants and tooth restorations.


Frequently Asked Questions About Bone Grafting in Nutley, NJ
How long will I need to wait before getting dental implants?
In most cases, it takes about 3 to 6 months for grafted material to integrate with the jawbone. We’ll monitor your healing closely and recommend implant placement as soon as you’re ready.
Is bone grafting painful?
No, not at all. With local anesthesia and optional sedation, you’ll remain comfortable throughout the procedure. Most patients can comfortably manage recovery with over-the-counter medications.
Which type of bone graft will I need?
This will depend on the degree and location of the bone loss in your jaw. Dr. Khaimov may use synthetic material or your own bone to rebuild the area. He’ll determine the best approach using 3D imaging.
“Highly recommend this practice.” More 5-Star Reviews From Our Patients
First time, very impressive office environment. Beautiful decor. Staff was wonderful and the doctor was very nice and gentle both while explaining and examining. I highly recommend this practice.
View On GoogleI highly recommend this practice. Staff and doctor are professional and friendly. Calm and relaxing environment. I was in and out quickly. Very comfortable throughout my procedure. Thorough directions and explanations. My insurance only covered my visits but not the procedure and they made it affordable for me. I will definitely come back if I need anything in the future.
View On Google





